لطفاً قبل البدأ في قراءة المواضيع أرجوا قراءة موضوع البداية فدخولك للموقع و البدأ بالقراءة يعني قبولك الكامل بكل ما ذكر فيه

20‏/03‏/2011

الموضوع الأشهر .. اللوزتين

بسم الله الرحمن الرحيم
لربما كما ذكر اسم طبيب الأذن و الأنف والحنجرة تجلى في بال السامع أو القارئ الكريم عملية ازالة اللوزتين .. ولربما هي من أكثر العمليات   شيوعاً في هذا المجال اذا أضفنا لها عملية ازالة اللحمية  عند الأطفال والتي في الغالب يكون الحديث عنهما سوية  .. لكن في هذا المقال سأتطرق الى اللوزتين فقط  وستكون اللحمية في موضوع آخر مستقل .
ماهي اللوزتين ؟!!
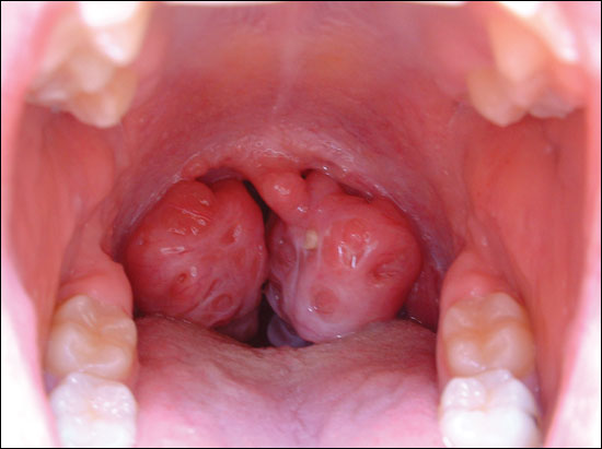
اللوزتان هما حزمات صغيرة من نوع معين من النسيج اللمفاوي . يوجد عدة أزواج من تلك الأنسجة المنتشرة بالحلق لعل أكبرها و أهمها بالنسبة لنا الموجود بقرب الحنك أعلى اللسان ( او ما تدعى باللوز الحلقية ) و الأخر خلف اللسان مباشرة ( اللوز اللسانية ) ما يزال هو اللوز الحنكية و هي الأكبر.  وبسبب موقعها في الحلق فهي خط الدماغ الأول ضد العدوى التي تدخل عبر الأنف والفم .


يختلف حجم اللوزتين من شخص لآخر و أيضاً من سن الى آخر .. فهي في الغالب تكون أكبر من الطبيعي عند الأطفال من سن سنتين الى سن 6 سنوات و تبدأ بالضمور التدريجي مع التقدم بالسن.

التهاب اللوزتين !!  
كما ذكرنا فاللوزتين هي خط الدفاع الأول للحلق .. وهذا يعني أنها الأكثر عرضة للإصابة ، فإذا ما هجم ميكروب عن طريق الفم أو الأنف ، فإن هذا الخط الدفاعي يتصدى له ، وتدور رحى معركة ضارية ، لا تهدأ حتى يتم تحطيم ذلك الميكروب ، ومن الطبيعي أن تكبر هذه العقد اللمفاوية ، وهو دليل صحة لا مرض ، لأنه يعني فعالية تلك العقد ونشاطها في الدفاع عن الجسم ، والحفاظ على صحته …

ولكن قد يحدث أن تكون الميكروبات المهاجمة من القوة والشراسة بحيث تتغلب على هذه الوسائط الدفاعية وتعطبها ، فتصبح هذه العقد عبأً على الجسم ، بدلاً من أن تكون عوناً له ، وهنا يصير من المناسب رفعها لتخليص الجسم من ضررها … ولكن يبقى السؤال المهم ، وهو : متى نستأصل هاتين اللوزتين .!؟
ليس كل التهاب في اللوزتين يستدعي إجراء عملية لإزالتهما ، فهناك أسباب علمية مدونة في المراجع الطبية المتخصصة اذكر منها :
أولاً : الاتهاب البكتيري المزمن .. واعني به الالتهاب الذي يستدعي استعمال المضادات الحيوية أكثر من ست مرات في السنة على أن يكون التشخيص من قبل الأطباء حتى لا يختلط التهاب الحلق او البلعوم مع التهاب اللوزتين على المريض. بالإضافة الى شدة الأعراض المصاحبة لتكرار التهاب اللوزتين مثل وجود انسداد في الأنف أو التهاب في الجيوب أو اللثة أو الأسنان.
ثانياً : في حالة تضحم اللوزتين بشكل مزعج للمريض مما يسبب له انسداد في مجرى الهواء أو صعوبة في بلع الطعام ... أو شخير بالإضافة الى تقطع النوم ( ما يسمى باختناق النوم ) ففي هذه الحالة يتم ازالة اللوزتين .. من باب ازالة السبب.

تضخم حاد بالوزتين .. يصيب الأطفال أكثر من البالغين

ثالثاً : عند اصابة المريض بخراج في اللوزتين يتم في الغالب علاج الخراج في البداية و من ثم يعطى المريض موعداً لإجراء العملية بعد 6 أسابيع .. للإحتمالية عودة الإصابة مرة أخرى.
رابعاً : اذا اكن المريض يعاني من امراض عضوية مزمنة و كانت رؤية طبيبة المعالج أن من الأمن ازالتها كما في حالات الفشل الكلوي او ما بعد زراعة الكلى .. و كذا عند ارتفاع احتمالية اصابة المريض بحمى القلب الروماتيزمي.
خامساً : عندما يتوقع الطبيب وجود احتمالية ورم سرطاني في اللوزة ( غالباً تكون بجهه واحده ) او عند وجود ورم غير معروف المصدر في الرأس !!
و دوماً يبقى قرار الطبيب مبني على أسس و وقواعد متفق عليها طبياً و معروفة .. لكن تختلف من مدرسة لأخرى .. و هذا هو سبب تباين آراء الأطباء دوماً.

 ؟!!ما قبل إجراء العملية 
بعد أن يقرر الطبيب إجراء العملية هناك فحوصات و تحاليل سيقوم باجرائها قبل ذلك .. وغالباً ما تكون بالسؤال عن التاريخ المرضي لعائلة المريض و الأمراض المزمنه معه و الأدوية المستخدمة ( من المهم اخبار الطبيب عن الأدوية المسيلة للدم كالأسبرين و بالأخص اذا تم تناولها قبل 10 أيام من إجراء العملية).. بالإضافة الى بعض التحاليل الخاصة بسيولة الدم ومن ثم  يبدأ التحضير لإجراء العملية بشرح طريقة اجرائها و تبيان الأعراض و المخاطر المتوقعه على المريض بعد اجرائها.
فاذا كان المريض طفلاً كان ﻋﻠﻰ ﺍﻷﻫﻞ ﺃﻥ ﻳﻨﺎﻗﺸﻮﺍ ﺑﻮﺿﻮﺡ ﻭﺻﺮﺍﺣﺔ ﻣﺸﺎﻋﺮ ﺍﻟﻄﻔﻞ ﻋﻦ العملية ﻭﺃﻥ يمنح ﺷﻌﻮﺭﺍ ﺑﺎﻷﻣـﺎﻥ                       
ﻭﺍﻟﻄﻤﺄﻧﻴﻨﺔ ﻭﺃﻥ ﻳﻘﻨﻌﻮﻩ ﺃﻥ ﻫﺬﺍ ﺍﻹﺟﺮﺍﺀ ﺳﻴﺠﻌﻞ ﺻﺤﺘﻪ ﺃفضل ﻭﺃﻥ ﻳﻮﺿﺤﻮﺍ ﻟﻠﻄﻔﻞ ﺃﻧﻪ ﺳﻴﺸﻌﺮ بألم بسيط بعد العملية ﻭﻟﻜﻦ ﻟﻌﺪﺓ ﺃﻳﺎﻡ ﻓﻘﻂ ﻭﺃﻥ ﺍﻟﻄﺒﻴﺐ سيزيل جزأ من جسمه ليس ذو أهمية كبرى و يمكن تعويض وظيفتها .. ولو كان هناك من أجرى العملية من نفس سن الطفل كان من الأفضل جمعهم للحديث سوية . وقد وجدت أن افضل ما يحفز الطفل على الهدوء وعده بكمية من الآيسكريم بعد العملية موزعه على دفعات !!
بعد الإستعداد النفسي يفضل أن يحضر المريض الى المستشفى حاملاً مستلزماته الشخصية الصحية من فرشاة أستان و معجون و منشفة و غيرها ..  في غالب الأمر هذه العملية تجرى كعملية نهارية او ما يسمى بـ ( عملية اليوم الواحد ) لأن المريض في غالب الأمر يخرج في نفس اليوم اذا لم يكن هناك عارض صحي يمنع ذلك. في غالب الأمر يلتقي المريض بطبيب التخدير قبل فترة من اجراء العملية وسيحصل على بعض الإرشادات منه و التي من ضمنها الصيام عن الأكل مدة تقارب 10 ساعات قبل العملية و تقريباً ساعتين الى 3 ساعات عن الشرب.

عملية الإزالة و طرقها ؟!!
عملية ازالة اللوزتين من أقدم العمليات بل يذكر أن أول عملية اجريت كان قبل أكثر من 3000 سنة !! وهي باختصار ازالة اللوزتين من جانبي الحلق وايقاف النزيف الحاصل من عملية الإزالة.  لربما من المفيد الحديث عن مضاعفات العملية الطبية  المتوقع حدوثها ... ولعل أشهرها و أخطرها هو النزيف أثناء العملية و بعدها فالنسبة الطبية المعروفة للنزيف تصل الى 2-3% من مجمل العمليات وهذا الرقم في الطب يعتبر عالي !! كما أن معدل الوفيات الناجمة من اجراء العملية تصل الى حالة وفاة لكل 15 ألف مريض تجرى لها العملية ( حمنا الله و اياكم ) لكن من رحمة الله - سبحانه و تعالى - و فضله أن يسر لنا العلم و سخر لنا الآلة التي حدت من تلك الخطورة كثيراً.. فتعددت الطرق و تشكلت المدارس المختلفة .. بعد أن كانت تزال اللوزتان باليد مباشرة !! أو بالمقصلة الصغيرة دون تخدير .. أصبحت الطرق أكثر تحضراً و صحةً و أقل خطورة لكن مازالت الخطورة موجودة !! والإزالة تتم تحت التخدير الكامل .
لعل أشهر الطرق .. وهي ما يستعمل بكثرة في المملكة و في العالم طريقة الكحت  و هي ازالة اللوزتين بفصلهما عن مكانهما مع الكبسولة المحيطة بواسطة سكين خاصة و من ثم فصل الجزء السفلي منها بأدالة خاصة و في بعض الأحيان ربط الجزء السفلي من اللوزة  لمنع النزيف !! أيضاً هناك طرق أخرى باستعمال المقص الجراحي أو آداة الكي أو بالمقص الكهربائي - غالباً بألمانيا - الذي يقص و يكوي مكان النزيف في الوقت نفسه. بعد الازالة يتم التحكم بنقاط النزيف في
الغالب بالكي الكهربائي .. و في حالة عدم التمكن من ذلك يكون بخياطة مكان النزيف بشكل محكم.

صورة تمثيلية لعملية ازالة اللوزتين

بعض الأدوات المستخدمة في عملية اللوزتين 


هناك حالياً طرق أخرى أيضاً منها الإزالة بالليزر .. وهي بنفس فكرة المقص الكهربائي لكن يتم استعمالها على نطاق ضيق و في الغالب في الأوارم السرطانية باللوزتين .. أيضاً الإزالة بواسطة جهاز خاص يدعى - الكوبليشن - يعمل بفكرة مقاربة لأداة الكي ولكن بخطورة أقل و بتقنية الذبذبات الصوتية .. أيضاً يمكن استعمال الموجات الصوتية في الإزالة لكنها ايضاً تستعمل على نطاق ضيق  و ذللك للاحتياطات الكبيرة و التجهيزات الخاصة لغرف العمليات التي تتطلبها تلك الطريقة.

صورة لعملية إزالة اللوزتين بطريقة الكوبليشن

من الطرق أيضاً ازالة جزء من اللوزتين وليس كاملها !! وهذي الطريقة منتشرة غالباً في أوروبا للأطفال الذين يعانون من تضخم اللوزتين دون وجود التهاب مزمن في اللوزتين - وهدف متبعي هذه المدرسة حفظ جزء من وظيفة االوزتين و الاحتفاظ بها لأطول وقت ممكن -
و مازالت هناك العديد من الطرق التي مازالت قيد التجارب و البحث
اللوزتين بعد استئصالهما

------
احتراماً لمشاعر القراء الكرام سأعرض فيديو لعملية ازالة اللوزتين و اللحمية في تدوينه منفصلة لإحتوائها على مشاهد قد لاتناسب صغار السن و من لا يتحمل مناظر الدم -
------
ما بعد العملية ؟!!
بعد العملية يسمح للمريض بالأكل والشرب بعد ساعتين على أن يكون الأكل غير ساخن وسهل البلع.  فالمريضعادة  يشعر بعد العملية بصعوبة في البلع قد تمتد الى 10 أيام وغالباً ما يكون الألم في أعلاه في اليوم الخامس و السادس خاصة عند البالغين، أما الأطفال عادة يتحسنون بشكل أسرع. 
أما نزيف فقد يحصل في الساعات الأولى بعد العملية أو بعد مرور اسبوعان من العملية والذي يكون عادة نتيجة التهاب مكان العملية. وقد بينة الدراسات أن احتمالية النزيف قد تزيد في اليوم الثامن من العملية !! في بعض الحالات عندما يكون تضخم اللوز شديدا يحدث تغيير في نبرة الصوت بعد العملية وعادة يكون التغير للأحسن. و قد تكون بحة في الصوت يعود بعدها الصوت تدريجياً لوضعة الطبيعي قبل العملية . قد يكون المريض في حالة نعاس او يصاب بغثيان في الساعات التي تلي العملية نتيجة للتخدير وعادة ما تختفي هذه الأعراض حتى بدون علاج .
يحصل المريض على راحة مرضية بعد العملية يمكنه فيها ممارسة النشاط الجسدي الخفيف مع تجنب التمارين والعمل الجسدي العنيف لمدة  14 يوم ، ويسمح له بالحمام البارد - أو الدافئ لكن ليس الساخن -والسباحة الخفيفة.. أما بالنسبة للأكل فمن المستحسن في الأيام الأولى بعد العملية تناول المأكولات السهلة للبلع وألا تكون ساخنة، ولا مانع من تناول أيس كريم والعصيرات غير الأسيدية، كما أن استعمال اللبان (العلكة) مسموح. يحصل المريض عادة على مضاد حيوي لمدة أسبوع بعد العملية في حالة توقع حصول التهاب مع مسكن للألم. قد يشتكي المريض من ألم في الأذن وهذا الألم يكون في الغالب طبيعي وهو ألم ينتج بسبب التشابك العصبي في المنطقة ولكن لا يعني بالضرورة التهاب في المنطقة. كما ذكرت في السابق في الغالب يخرج المريض في نفس اليوم  و في بعض الحالات يخرج المريض في اليوم التالي للعملية. 
في الغالب في مكان العملية تتكون مادة بيضاء مائلة للصفرة مع وجود نقط سوداء - أماكن الكي - بالإضافة الى وجود رائحة كريهة تصدر عن الفم لمدة 12- 14 يوما كما أن اللهاة قد تكون متورمه قليلاً لعدة أيام، وهذا كله طبيعي بعد العملية، ويعود اللون الطبيعي تدريجياً للمكان مع التئام الجرح.

صورة تبين لون النسيج المتكون بعد العملية
متى أعود للمستشفى ؟

في حالة النزيف ، وقد يكون نزيفاً حاداً اللون الأحمر أو أن المريض قد يقوم ببلع الدم، ومن ثم يتقيأ الدم على شكل مادة حمراء وفي كلتا الحالتين يجب إيقاف النزف. لذا يجب ملاحظة الأطفال فعند ملاحظة تكرر البلع بشكل متواصل قد يكون ذلك أحد عوارض النزيف. أيضاً في حال وجود نزيف أحمر اللون يتجاوز ربع كوب ففي هذه الحالة يتم غسل الحلق بماء مثلج والمسارعة الى اقرب مستشفى و ان كان النزف أخف فالأفضل مراجعة المكان الذي تم اجراء العملية فيه ، في حال عدم القدرة على الأكل أو الشرب مما يسبب جفافا في الجسم ونقصا في التبول، أو في حال استمرار الحرارة المرتفعة لأكثر من يومين. عادة ما يراجع المريض الطبيب بعد أسبوع من خروجه من العملية، ثم بعد 4 أسابيع للإطمئنان على وضعه الصحي. 

اتمنى أن أكون وفقت في شرح الموضوع بشكل جيد .. و تمنياتي لكم بدوام الصحة و العافية

هناك 110 تعليقات:

  1. السلام عليكم
    انا عملت عمليه اللوز من عشر ايام لكني لا استطيع الاكل والشرب حتى الان مع وجود طعم مقرف جدا عند البلع ولا استطيع الاستغناء عن المسكن كل 8ساعات هل هادا طبيعي علما اني نزل من وزني 7كيلو في 10 ايام ما تلحل

    ردحذف
  2. و عليكم السلام
    أهلاً وسهلاً بك اخي/اختي الغالية
    بالنسبة لما تعاني منه حالياً يعتبر من المضاعفات الطبيعية للعملية .. و التي تختلف شدتها من شخص لآخر .. لكن بقاء الألم المصاحب لأكثر من عشر أيام قد يكون نتيجة التهاب في مكان الجرح .. بامكانك حالياً القيام بعمل مضمضة للفم باستعمال شاي البابونج الدافئ ( بنفس درجة حرارة الغرفة ). استعمال العلكة لتأهيل المنطقة من جديد .. ولكن كل هذا لا يغني عن زيارة الطبيب مرة أخرى للتأكد من عدم وجود التهاب .. أو خراج في المنطقة والذي لا اكتشافه الا من خلال الفحص الاكلينيكي..
    دمتم بصحة و عافية

    ردحذف
  3. ما الحكمة من اطعام المريض الايسكريم بعد العملية؟

    ردحذف
  4. الايسكريم بعينه ليس علاج او الزام للمريض
    في الغالب يطلب من المريض أكل الايسكريم لغناه بالحليب ( كمكون غذائي ) و برودته المساعده على التخفيف في الالم و تخفيف احتمالية النزيف .. و سهولة اكله خاصة و ان المريض يعاني من صعوبة البلع بعد العملية .. و فوق هذا و ذاك غالباً ما تكون الشهية ضغيفه بعد العملية نتيجة للألم .. لذلك الأيسكريم قد يكون أشهى و خاصة للأطفال ..
    و الا فأي غذاء ينطبق عليه ما ذكر بالأعلى صالح ..
    دمتم بصحة و عافية

    ردحذف
    الردود
    1. يا دكتور انا سويت عملية لوزتين ولحمية قبل شهرين ولاكن في بعض أماكن اللوز الغرز ماراحت والحين قبل يوم صارت المنطقة اليمنى من العملية فيها ألم شديد أيش اسوي

      حذف
  5. هل تنصح بازالة اللوزتين لمن تكون لديه ملتهبة وعمره يقارب 37 من العمر؟

    ردحذف
  6. اذا كان الالتهاب متكرر كما ذكرت بالاعلى .. فنعم
    لكن من يقرر لك هو من يقوم بالفحص الطبي المباشر.
    أما من ناحية العمر .. فليس مقياس .. العملية تجرى للصغار و لمن هم فوق الثمانين اذا توفر الداعي لإجراء العملية..
    تمنياتي لك بصحة دائمة

    ردحذف
  7. عندي الم في الاذن وبذلك لا استطيع البلع مطلقا مع اني كنت في اليوم الثاني افضل بكثير من اليوم الخامس في البلع
    ومقدرين لك تعاملك ....

    ردحذف
  8. عزيزي موسى..
    ألم الأذن بعد العلمية طبيعي حيث أن العصب المغذي للوزتين يشترك مع عصب آخر في الأذنين .. فهذا ألم منتقل و ليس ألم من الأذن نفسها.
    اذا كان الألم شديد و لديك صعوبة بالغة في فتح الفم .. فالأفضل أن تسارع الى زيارة طبيبك ليتأكد من عدم وجود التهاب شديد أو خراج بالمنطقة!!
    حالياً انصحك بعمل مضمضة للفم بمغلي شاي البابونج ( يجب أن لايكون ساخناً ) بالاضافة الى الإكثار من السوائل وخاصة الماء.

    تمنياتي لك بدوام الصحة و العافية

    ردحذف
  9. هل صحيح ان استئصال اللوزتين يسبب العقم؟

    ردحذف
  10. لم يثبت علمياً أي علاقة بين عملية ازالة اللوزتين نفسها و العقم..
    حيث أن اللوزتين عبارة عن نسيج ليمفاوي لا علاقة لها بالغالب في الجهاز التناسلي.

    ردحذف
  11. مرحبا انا ميمي عمري 20 عندي تضخم في اللوز وفي دكاترة نصحوني اني ازيلهم وبعضهم قالو لي اذا ما بتعاني منهم لاحسن تعملي عملية استئصال (تصغير الحجم)يعني انا ما بعاني منهم من جهة وجع ولكن بحس حالي خنفة لما احكي بسرعة وكتير بشخر بالليل وبدي اسال بنسبة لازالة اللوز هل لازم بعد العملية يزيد الوزن لانو صراحة انا وزني زايد ومو حابة يزيد وزني وهشي بخليني اتراجع عن اني اعمل العملية بتمنى الرد وشكرا

    ردحذف
  12. أهلا و سهلا ..
    بالنسبة لإستئصال اللوزتين ففي الغالب يتم استئصالها بشكل كامل بالنسبة للبالغين .. و التصغير أو الإستئصال الجزئي يكون في الغالب لصغار السن. لكن من يحدد هو طبيبك المعالج بعد الفحص و المعاينة. و حسب ما ذكرتي الآن فيبدو أنك تعانين من متلازمة انقطاع النفس أثناء النوم و الغالب يكون علاجها بازالة كامل اللوزتين بالإضافة الى تصغير اللسان و اللهاة ( اذا كانوا متضخمين ) كما يمكن علاج الجميع بواسطة الموجات الفوق صوتية ( بامكانك سؤال طبيبك المعالج عنها - ففي الحالات البسيطة تكون هي البديل الأفضل عن العملية - )
    بالنسبة لزيادة الوزن .. أنت من يستطيع التحكم به ... م ا يحدث باختصار هو أن العائق الذي كان يقف في طريق تناولك لكمية كبيرة من الطعام قد زال !!و أصبح من السهل تناول كمية أكبر بسبب زوال هذا العائق. فاذا بقيتي على نفس كمية الطعام فبإذن الله لن يزيد وزنك.
    تمنياتي لك بدوام الصحة و العافية

    ردحذف
  13. المترجمه سهير5 أبريل 2012 في 3:43 ص

    السلام عليكم
    الدكتور الفاضل اياد الجردان
    احببت ان افيدك فيما يتعلق بمسمى العمليه
    "طريقة التقشير - ولا أعلم ان كانت الترجمة صحيحه "
    الترجمة الصحيحة هي (كحت) وليست (تقشير)
    وتقبل مروري

    ردحذف
    الردود
    1. و عليكم السلام ..
      أشكر لك أختي تصحيحي ..
      و تم تصحيح الكلمة في الموضوع
      أشكر لك مرة أخرى حرصك و تنبيهك

      حذف
  14. السلام عليكم
    انا عملة عمليه الحميه والانحراف في الانف
    وبعد اسبوع او اسبوعين عملية اللوز
    هل التخدير يأثر علي المريض حين تتقارب مدة العمليه
    وشكراً

    ردحذف
    الردود
    1. و عليكم السلام ..
      في الغالب لا تؤثر .. لأن التخدير عن طريق الفم و ليس عن طريق الأنف ..
      لكن يفضل ذكر امر العملية لطبيب التخدير ..
      تمنياتي لك بالصحة

      حذف
  15. شكرا جزيلا لك... جزاك الله خيرا

    ردحذف
    الردود
    1. السلام عليكم يا دكتور
      انا ابراهيم
      وعمري 20
      بس انا عملت العمليه فيل 10 ايام وحبيت اسئل متى
      اقدر اشرب سوائل الساخنه مثل الشاي والقهوة
      ومتى اقدر اكل من الاكل هو ساخن ؟
      وشكرا لك ^_^

      حذف
    2. و عليكم السلام اخ ابراهيم
      في الغالب تستطيع من الآن شرب السوائل و أكل المأكولات الساخنة في حال كان التام الجرح يسير بالشكل الصحيح ...
      دمت بعافية

      حذف
  16. شكراااااااااا جزيلا على هاذا التقرير الشامل الي كاتبينه
    صارلي 5 ايام مسويه عملية وكلش جنت دا اتاذه بس بعد ما قريت هاذا التقرير الكامل عن اللوزتين كلش ارتاحيت نفسيا والان بديت اكل فواكه مرنه وبقطع كبيرة
    مشكووووووووورة منكم هواااااااااية الله يحفظكم يارب

    ردحذف
    الردود
    1. الحمد لله .. أنك استفدت من المقال ..
      والحمد لله على سلامتك

      حذف
  17. أخى الكريم انا عملت عملية اللوز وفى اليوم العاشر حصل لى نزيف شديد جدا وذهبت الى المستشفى وفقدت كمية دم كبيرة والحمدلله توقف النزيف وفضلت فى المستشفى لمدة 3 ايام للمتابعة وخرجونى

    هل هناك خوف من عودة النزيف وهل بعد ذالك سيكون هناك خوف من مكان اللوز او يجب عليا معاملتة معاملة خاصة

    ردحذف
    الردود
    1. اكثر من السوائل .. و التزم الراحة .. و تابع مع الطبيب ..
      احتمالية عودة النزيف دوماً وجودة .. لكن ضعيفة بإذن الله

      الحمد لله على سلامتك

      حذف
  18. السلام عليكم انا عمر 20 سنه كنت اعاني من التهاب اللوز اكثر من مرة في السنه و لوزي شديده الحساسيه من البارد لكني مع التقدم في السن بدات لوزي تنزل و اصبحت عندما افتح فمي لا اجدهم و الان انا خائفه هل طبيعي ام اعمل عمليه ؟

    ردحذف
    الردود
    1. اذا الإلتهابات لم تزداد .. فلا مشكلة
      و صغر اللوزتين مع تقدم العمر طبيعي
      تمنياتي لكم بالصحة و العافية

      حذف
  19. عبد القدوس اليمني15 سبتمبر 2013 في 6:23 ص

    السلام عليكم
    انا عملت العملية قبل عشرة ايام واحس بتورم مازال في الحلق ولا استظيع البلع بسهوله ، وهل يسمحح بأكل الأشياء البارده والثلج بعد اليوم العاشر، وهل تفيد في الالتئام ام الأشياء الدافئة او الحاره
    ودمت بصه وسلامه دكتوري

    ردحذف
    الردود
    1. و عليكم السلام
      من الممكن أن يستمر الالم الى ثلاث أسابيع من العملية
      البارد أفضل من الحار بعد العملية
      تمنياتي لكم بالصحة و العافية

      حذف
    2. انا عمري 37 سنة وعندى تضخم في للوزة واحدة اليمين واحيآ تسبب ضيق اسناء البلع فهل مع العمر سوف تضمر وتختفي او اعمل عملية استئصال؟

      حذف
  20. السلام عليكم
    انا الدكتور مقرر لى عمليه بس خايفه كتير لانوفى ناس كتير خوفتنى حكولى لو شلتى اللوزتين رح تسمنى لانو بس تشليهم بزيد وزنك هل هدا صحيح ولا كلام فاضى ارجوكم تردو بسرعه لانو ماعندى وقت عمليتى قربت ولازم اعرف بليز

    ردحذف
    الردود
    1. من الممكن أن يزداد الوزن لكن ليس بسبب العملية .... غالبا تكون بسبب أن ألم البلع يخف بشكل كبير .. و يزداد الأكل

      حذف
  21. أزال أحد مشرفي المدونة هذا التعليق.

    ردحذف
  22. ابنى عمل عملية ازالة اللوزتين واللحمية منذ اكثر من 14 يوم ويعانى من الم فى الرقبه وكان يتناول فى البداية مضاد حيوى اجمنتين وبنادوال وكان لا ياكل اى 2 معلقة ايس كريم ثم ذهب الى الدكتور قال فى التهاب فى الجرح وكتاب مضاد حيوى6 حققن ميكسب 500 مش فاكر احذ 4 حققن فقط وكان لاياكل ايضا ثم ذهبت الى دكتور اخر قال نفس الكلام وكتب حققن اخر 1 جرم ابتد ياكل ويشرب بسيط ومازل ويعانى من الم فى الرقبه

    ردحذف
  23. مرحبا دكتور هل هناك علاج لتضخم اللوز غير الازالة لمريضه عمرها 12 عام.

    ردحذف
    الردود
    1. نعم .. من الممكن التصغير
      بالطرق المذكورة بالأعلى

      حذف
  24. أزال أحد مشرفي المدونة هذا التعليق.

    ردحذف
  25. سلام انا عمري 22سنة منذ 6 اشهر بدات اللوزة اليمنى عندي تتضخم وبدا التضخم ينتقل للاخرى شربت ادوية ما نفعو ما احس ب الم بس في تغير بصوت بحس الصوت طالع من انفي و في التهاب بالجيوب الانفية انا ولا مرة بحياتي شكيت من التهاب اللوز و هذ الحالة بس من 6 شهور لليوم في دكتور نصحني استاصلهم واخر قالي لا انا اريد رايكم وشكرا كثير

    ردحذف
  26. في حال اختلاف الأطباء في اقرار العملية ..
    من الأفضل أخذ رأي طبيب ترجيحي و يكون طبيب معروف في المجال و متمكن
    ففي مثل حالتك .. يجب أن يكون هناك فحص اكلينيكي كامل
    تمنياتي لكم بالصحة و العافية

    ردحذف
  27. يا دكتور من فضلك انا عملت العملية من 7 ايام بالظبط ومن اول يوم يوجد الم فی البلع ولكن بدا الالم فوق المحتمل من اليوم الرابع او الخامس حتی اليوم علما بان اليوم هو الثامن فماذا افعل والمسكن stopain ساعتين ومفعوله يروح فما هو الحل وهل هذا طبيعی والی متی سيستمر هذا العذاب

    ردحذف
    الردود
    1. الألم يكون طبيعي بعد العملية و من الممكن ان يمتد الى 3 أسابيع في بعض الحالات
      الحل يكون بالشرب المتكرر للماء على جرعات صغيره .. و الأكل اللين كما هو موضح بالموضوع

      حذف
  28. انا يحيي 16 سنة عملت العملية من 3 ايام
    بس انا باكل كويس فى حالة اخد اللبوس فقط
    وبعانى من الم شديد جدا لما ابقى لسا صاحى من النوم ولا استطيع حتى بلع ريقى فهل هذا طبيعى ام لا
    مع العلم انى عاملها ليزر وانا مش بعانى غير الم الفم فقط ولا بعانى من الم فى الاذن ولا الاشياء الاخرى

    ردحذف
    الردود
    1. لم أفهم ما المقصود باللبوس ؟
      لكن الألم يكون طبيعي بعد العملية و من الممكن ان يمتد الى 3 أسابيع في بعض الحالات

      حذف
    2. اللبوس هوا الاقماع وتسمى دولفين_k
      طيب عندما استيقظ من النوم يكون الالم شديد جدا ولا يهدأ الا اذا اخذت القمع فهل هذا طبيعى

      حذف
    3. أزال أحد مشرفي المدونة هذا التعليق.

      حذف
  29. أزال أحد مشرفي المدونة هذا التعليق.

    ردحذف
  30. يا دكتور انا عاملة العملية من 24 يوم وكل الغرز وقعت ناعدا واحدة بحسها مدفونة تحت الجلد وهی بتوجعنی اما اكل ولكن بسيط فما هو الحل هل لذهب للدكتور يشيلها

    ردحذف
    الردود
    1. راجع الطبيب الذي قام باجراء العملية

      حذف
  31. دكتور انا عمري 20 عام و سويت عملية استئصال اللوزتين من 5 ايام بالليزر
    و ما بقدر لهلأ اني اكل او اشرب ولا ابلع ريقي حتى من شدة الالم
    و عايشه على المسكنات و الادويه فقط
    بدي اعرف هل هيدا طبيعي ولا انا بخطر؟
    و ايمتى بقدر اكل طبيعيى او اشرب اشي ساخنه و ادخن؟؟
    شكرا لمجهودك دكتور ، ارجو الرد

    ردحذف
    الردود
    1. انا عملتها من ١٢يوم في الليزر وكان الالم في اليوم الخامس لحد اليوم التاسع اقوى من الايام الاولى واتألم كتير ... وهاد شي طبيعي والان انا في اليوم ١٢ والحمدلله ألم خفيف في البلع لا تخافي شي طبيعي

      حذف
    2. أزال أحد مشرفي المدونة هذا التعليق.

      حذف
    3. كما هو مذكور الالم احد المضاعفات المتوقعه و قد تستمر لمدة ٣ اسابيع بعد العملية

      حذف
  32. السلام عليكم دوكتور انا عمري 16 ورح سوي عملية استئصال اللوز متردده كتير لان في ناس خوفوني وانا لوزاتي لازم ينشالو لان عملولي حمى رثويه وبحس باختناق والم وتعب شديد وانا ضعيفة وزني 44 .. ساعدني دوكتور ممكن تأثر على الانجاب في المستقبل او على النمو ؟
    شكراً الك

    ردحذف
    الردود
    1. راجع طبيبك .. من خلال الفحص هو من يقرر هل يجب الاستئصال ام لا

      حذف
  33. السلام عليكم ورحمه الله وبركاته

    سمعت يا دكتور ان هناك حقنه تحقن في اللوز مباشره تخفف الالم وتسبب ضمور للوز وبعد اسبوع يتم حقن حقنه توقف مفعول الحقنه الاولى لكي لا يكون الضمور شديد. تعليقك على ذلك يا دكتور

    ردحذف
  34. أزال أحد مشرفي المدونة هذا التعليق.

    ردحذف
    الردود
    1. أزال أحد مشرفي المدونة هذا التعليق.

      حذف
  35. أزال أحد مشرفي المدونة هذا التعليق.

    ردحذف
  36. انا ابني عامل اللوز من يومين بس ﻻحظت وجود كتله في الجانب الايسر من رقبته هل هذا طبيعي ارجو الرد

    ردحذف
  37. أزال أحد مشرفي المدونة هذا التعليق.

    ردحذف
  38. يا دكتور هل الخروج في الاماكن الحاره توثر علي العمليه هل الحل ملازمه المنزل وعدم الخروووج منه

    ردحذف
    الردود
    1. ليس بالضرورة .. المهم عدم الاجهاد و تناول كمية كافية من السوائل

      حذف
  39. أزال أحد مشرفي المدونة هذا التعليق.

    ردحذف
  40. السلام عليكم
    أنا عمري17سنه وسويت عملية استئصال اللوزتين بالليزر
    والآن أنا في اليوم الثامن من العمليه هل يسمح لي بأكل الأشاء التي مشتهيها ارجو الرد يادكتور

    ردحذف
    الردود
    1. حسب وضع الجرح و الالم المصاحب.. بامكانك مراجعة الجراح لو كنت في شك

      حذف
  41. أزال أحد مشرفي المدونة هذا التعليق.

    ردحذف
  42. أنا عمري 30 ..واجريت عمليه لوز من شهر تقريبا ..وعندي احتقان بسيط آخر اللسان الجهه اليمنى بجانب اللوز الماخوذه بدون ألم ولكن احسان غير طبيعي كأنه قطعه موجوده عن البلع ..ما سبب هذا

    ردحذف
    الردود
    1. راجع طبيبك للفحص .. قد تكون ندبه بعد العملية او تضخم في جذر اللسان

      حذف
    2. اخ رائد اتمنى تخبرني ماللذي كان السبب في ذلك انا عندي صار معي نفس الي صار معك بالضبط ارجوا اخباري بمذا فعلت وما كان السبب والحل

      حذف
  43. السلام عليكم انا عملت اللوز من أسبوع وراجعت الطبيب علشان احس بطعم مختلف في فمي وريحه مش كويسه نصحني بغسول واستخدمته ومازالت نفس الحاله ايش اعمل 😥

    ردحذف
    الردود
    1. راجع طبيبك .. السؤال لا يمكن اجابته بالانترنت

      حذف
  44. أزال أحد مشرفي المدونة هذا التعليق.

    ردحذف
  45. السلام عليكم عمري 37 سنة وعملت عملية لوز كان النزيف بعد اسبوع تقريبا من العملية مع خروج عقدة دم قديمة وبعد يومين نزيف اخر وعقدة دم قديمة مع وجود مخاط ورائحة كريهة في الفم اخذت مضادات حيوية بالوريد وكنت منوم بالمستشفى لمدة اسبوع حتى تمت السيطرة على النزيف فكنت اشتكي من الجهة اليسرى من الفم مكان ازالة اللوزة اليسرى بالم شديد جدا وبعها كان النزيف

    ردحذف
  46. يادكتور سويت عمليه اتصال الوزتين لطفلي وكان عمره خمس سنوات والان عمره 8سنوات وكل مايمرض اوديه عند دكتور اطفال يقول عندو الوزتين متهبه كيف يعني ممكن تعود الوزتين من جديد بعد استاصلها

    ردحذف
    الردود
    1. أزال أحد مشرفي المدونة هذا التعليق.

      حذف
    2. اللوزتين لا تعود بعد استئصالها

      حذف
  47. أزال أحد مشرفي المدونة هذا التعليق.

    ردحذف
  48. ماهو افضل مضاد حيوي بعد عملية اللوزتين

    ردحذف
    الردود
    1. المضاد الحيوي ليس الزامي بعد كل عملية .. من يقرر ذلك هو الجراح.. حسب الحالة

      حذف
  49. أزال أحد مشرفي المدونة هذا التعليق.

    ردحذف
  50. السلام عليكم ابني عمره ٩ سنوات ويعاني من التشخير منذ حوالي ٣ سنوات ورشح في مواسم معينه وكان كل مره رد الدكتور على الاشعه ان اللحميه متوسطة الحجم ولا داعي للعمليه وانه يعاني أعراض حساسيه كهرش دائم في الانف وصوته دائماً به ( خنفان) ومنذ سنه ونصف شكيت في سمعه وعملنا تخطيط اظهر ماء خلف طبلة الأذن وبالعلاج أسبوعين والحمدلله اظهر التخطيط الجديد ان الماء نشف وتحسن سمعه والحمدلله وتكررت المشكله في خلال السنه ونص ٤ مرات وكل مره الماء ينشف من اسبوع او ١٠ ايام علاج بالمضاد والبخاخه والزيرتك والحمدلله ويلغي الطبيب فكرة العمليه ولكن سؤالي هل هناك ضرر من كثرة تكرار الماء على طبلة الأذن وما الحل ؟ أسفه للاطاله

    ردحذف
  51. هل الشخير امر طببعي بعد عملية ازاله اللوز لطفل عمره سنتين و نص ؟

    ردحذف
  52. السلام عليكم
    انا عمري 26سنه قبل 16 سنه اعملت عمليه ازاله اللوزتين وبعد العمليه تغير صوتي ولحد الان لم يعد الصوت كما كان فما هو العلاج وشكؤا

    ردحذف
  53. السلام عليكم
    لدي تضخم في الغدد تحت الفك جهة اليمين. ولكن الالم جهة اليمين فقط،والالم يوجد بالاذن اليمنى. دكتور قال بان هذا التهاب بالحلق والاخر قال بانها لوز مدفونة ولازم تزال بالجراحة. ملحوظة انا عمري ما كنت اشتكي منها ابدا.

    ردحذف
  54. انا لوزتي طلع عليها عمل كيف بدي اشيلو


    ردحذف
  55. انا لوزتي طلع عليها عمل كيف بدي اشيلو


    ردحذف
  56. السلام عليكم عمري 28 سنة عملت عملية لوز قبل ثمانية أيام طبيعة عملي في المصانع ما فيها من غبار واتربة ودخان تنصحني بمازا وشكرا

    ردحذف
  57. دكتور انا بقالى شهرين ونص عملت العمليه كل الغرز وقعت ولكن بالفترة دى ف الم ف الجهه اليسرى بصيت ف المرايا لقيت سلك الغرز لونه اسوود كل مااكل او يشرب يؤلمنى جدا اعمل ايه لو سمحت

    ردحذف
  58. سلام عليكم انا ابني عمل اللوز واللحميه من تسع ايام الحمد لله احسن بس صوته متغير وبيتكلم من مناخيره فهل هذا طبيعي

    ردحذف
  59. سلام عليكم انا ابني عمل اللوز واللحميه من تسع ايام الحمد لله احسن بس صوته متغير وبيتكلم من مناخيره فهل هذا طبيعي

    ردحذف
  60. سلام عليكم انا ابني عمل اللوز واللحميه من تسع ايام الحمد لله احسن بس صوته متغير وبيتكلم من مناخيره فهل هذا طبيعي

    ردحذف
  61. انا طفلي يعاني من التهاب اللوز ولحميه عمره 4 سنوات متى تنصح بإجراء العمليه

    ردحذف
  62. انا طفلي يعاني من التهاب اللوز ولحميه عمره 4 سنوات متى تنصح بإجراء العمليه

    ردحذف
  63. سلام عليكم دكتور بارك الله فيك على هذا المقال الرائع. انا عمري 27 سنو عملت عملية ازالة اللوز قبل 4 ايام و منذ ذلك و انا اعاني من الم شديد على مستى الطرف الاخير في اللسان و ليس الجرح بل اللسان اجد صعوبة بتحريكه و حتى بلع الريق مع عدم الشعور بالذوق. و وجود رائحة كريهة . ما سبب هذا الالم في اللسان و لما لا اشعر بطعم الاكل؟ و هل ستزوك الرائحة الكريهة؟ شكرا

    ردحذف
    الردود
    1. مع العلم ان العملية تمت عن طريق الكي الكهربائي . هل هو سبب الرائحة الكريهة ؟!

      حذف
  64. عملت استئصال اللوزتين قبل 10 سنوات تقريبا وفي اخر سنتين زادت عملية الاحتقان في الحلق وكاني لم اعمل العمليه ماهو التفسير هل عادت اللوزتين في الظهور ام ماهو الشي الملتهب في حلقي ؟؟

    ردحذف
  65. عملت العمليه ولكن بعدها بيوم اى سوائل اشربها عند جلوسي تنزل من انفي افدني يا دكتور انا عندي 24 عام

    ردحذف
  66. يعطيك العافية دكتور متى يستطيع طفل بالرابعة من العمر السفر بعد العملية طريقة الاستئصال بالكي البارد الكوبليشن

    ردحذف
  67. السلام عليكم دكتور ارجوك الرد ابنتي رفعت اللوز قبل ثلاثة ايام وتعاني من مرارة في الفم كل الاكل والشرب الذي تتناوله تقول انه مر هل هذا عادي ولا ايه ارجو الرد ولكم الشكر الجزيل

    ردحذف
  68. مرحبا ابنتي عمرها٤ سنوات وقمنا بإجراء عملية تصغير اللوزتين وبعد العملية في اليوم الرابع لاحظت وجود طبقة بيضاء سميكة على اللوزتين هل هذا طبيعي ام هناك مشكلة؟ وشكرا

    ردحذف
  69. مرحبا ابنتي عمرها٤ سنوات وقمنا بإجراء عملية تصغير اللوزتين وبعد العملية في اليوم الرابع لاحظت وجود طبقة بيضاء سميكة على اللوزتين هل هذا طبيعي ام هناك مشكلة؟ وشكرا

    ردحذف
  70. مرحبا ابنتي عمرها٤ سنوات وقمنا بإجراء عملية تصغير اللوزتين وبعد العملية في اليوم الرابع لاحظت وجود طبقة بيضاء سميكة على اللوزتين هل هذا طبيعي ام هناك مشكلة؟ وشكرا

    ردحذف
  71. مرحبا انا عملة عملية لوز والدكتور أعطاني دواء اطفال وانا معرفتش واستمريت علي أخذ الدواء لمددت أسبوع ودواء ما عطاء ناتيجة للأسف 😩😩😩 عديت للصدالية عطاني مضاد Amoicillin هل هو اكويس هذا المضاد وأمتي يعطي المضاد ناتيجة

    ردحذف
  72. وانا عمري 15سنة

    ردحذف
  73. انا عمري ٢٥ سنة وكنت اعاني من تضخم اللوز بدون التهاب ولما بيحصل التهاب يمكن بقعد فترة طويلة اكتر من اسبوع حتى اخف فقررت عمل العملية وعملتها بالفعل ولكن اللحام مأثر على صحتي بااكامل لا استطيع حتى بلع الريق واي شئ يدخل فمي اقوم بترجيعه بالرغم ان ماعيا مضاد ومسكن ولكن بلا فايدة ما الحل حسيت بالندم فعليا ان عملت العملية بس الدكتور قال فعليا هتأثر على خشونة الرجل وفي علاقة مشتركة بينها وبين القلب وتأثيرها على القلب الرجاء افادتي كيفية ازالة االالم حتى استطيع الاكل لان نسبة الشفاء الكبيرة هو في الاكل

    ردحذف
  74. سلام عليكم اجريت عملية اللوزتين منذ اكثر من اسبوعين وخلال هذه الفترة تقريبا كل ثلاث ايام اعاني من نزيف حاد اذهب للمشفى حتى يتم ايقافه وهذا ما حدث فعلا من خلال عمليتين واليوم للنرة الثالة اصابني النزيف ولكنه توقف بمجرد جلوسي في مدخل الطوارى السؤال ما هو السبب وراء ذللك؟؟
    وما هو العلاج لاني تعبت واصبح فوبيا وخوف مستمر من الموت المفاجىء بسبب كمية الدم التي افقدها في كل مرة انزف فيها؟؟

    ردحذف
  75. السلام عليكم....يا دكتور عندي انتفاخ باللوزتين واللوزة اليسرى اكبر من اليمنى ولكن لا اشعر بأي الم بهما ولم تضهر علي اي علامة من علامات التهاب اللوزتين
    اللوزتان فقط كبيرتان واليسرى اكبر من اليمنى ولا يوجد الم او خراج واشعر بعسر في البلع فقط عندما انتناول لقمة كبيرة او شي قاسي مع العلم انني مدخن...افدني جزاك الله خير

    ردحذف